|
| |
| ■歯周病はだれにも予防できる細菌感染症 |
| こんなことにおもいあたりませんか? |
| |
|
| |
| ■歯周病の進行状態 |
| |
| 0 |
健康な歯肉には、ステップリング(みかんの皮の表面の小さなくぼみのような状態)がみうけられる。歯肉はサンゴ色またはピンク色でひきしまりがあり弾力性のある健康な歯肉。 |
 |
| 健康歯肉 |
|
 |
|
| |
| 1 |
歯のつけ根の表面に、プラークがたまり、歯の周囲や歯と歯の間の歯肉に炎症が起こる。ブラッシングした時や、固い物を食べると、出血し始めるが、症状はこれくらいでまだ痛みもあまりない。 |
 |
| 歯肉炎 |
|
 |
|
| |
| 2 |
プラークが歯石になり、歯石は大きくなって、歯根膜が溶け歯肉溝のなかにも広がってゆく。歯肉溝はだんだん深くなり、歯肉の弾力性がなくなって、歯周ポケットと呼ばれる空間ができる。炎症も進み、歯槽骨の破壊も始まってくる。 |
 |
| 歯周炎 |
|
 |
|
| |
| 3 |
症状が進むと歯周ポケットがさらに深くなり、歯槽骨がほとんど破壊され、歯がぐらつき歯の根も見えてくる。出血や口臭も強くなり常時ウミが出るようになる。その状態を一般的に歯槽膿漏(しそうのうろう)と言う。 |
 |
| 重度歯周炎 |
|
 |
|
| |
|
 |
| プラーク |
|
 |
| 歯石(染め出しで赤くなった部分) |
|
ねばねばした細菌の集まりがプラーク(歯垢:しこう)です。
その細菌が少しずつ死滅して、それに唾液成分の無機質が沈着し、石灰化して歯石(しせき)になります。 |
|
| |
| ■歯周病を防ぐ、プラークコントロール |
| |
歯周病の予防と治療には、ブラッシング(歯磨き)で口腔内を清潔に保つことが一番です。
歯周病やむし歯の原因は、プラークです。このプラークは、ていねいなブラッシングによって、大部分取り除くことができます。つまり、適切なブラッシングをつづけることで、歯周病を予防することができるのです。程度の軽い歯周病であれば、ブラッシングで治してしまうことも可能です。 |
| |
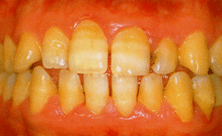
 |
| 歯周炎 |
|
 |
 |
| 約3ヶ月後、ブラッシング指導などにより歯周炎が改善された例 |
|
 |
| 染め出し(プラークや歯石部分が赤く染まっている) |
|
|
|